■ 参考 ACL断裂のエコーでの確認
- 当院では、
- ・複数のチェックによる症状の評価の確実性向上
- ・患者様への説明(インフォームドコンセント)内容の分かり易さ向上
- のために、エコー(超音波画像)による観察も行っております。
例えば、ACL損傷の評価
例えば、ACL損傷の評価では、徒手検査(ADS・ラックマン・ピボットシフト・Nテストなど)・関節包内血腫の有無・MRIなどが用いられる事が一般的です。
徒手検査ではそれぞれの手法(技法)によって特性があるので、ひとつの徒手検査で+(陽性)となってもそれだけでACL断裂とは言い切ることはできません。例えばADS(前方引き出し検査)では、特異度は高いのですが、感度はそれほど高くないので注意が必要となります。
そこで当院では、徒手検査に加えエコーによるACLの観察も行っております。
ただし、エコーを使っても、断裂が描出(表示)されない場合もあります。
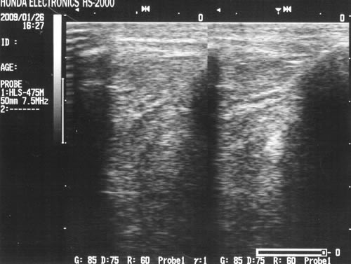
写真は断裂像です。(施術例1の患者様ではありません)
該当の患者様は、その後に専門医でのMRI検査などにより、ACL完全断裂の確定診断に至っています。
【 ACL長軸画像 】
左側が断裂像(患側)/右側が正常像(健側)。
ポイントは以下の2点。
・患側のACL中枢側が後方(画像上は下方向)に垂れている。
・ACLそのものの描出が不鮮明。
【 シェーマ図 】
(*上記の画像は、患者様の了解を得て掲載しております。)


