1.症例4
野球肘 内側障害です。
症例1の野球肘と同じタイプです。この患者様も遠投で「バキッ!」としたと言うエピソードでした。
エコーでは上記の像(↑)です。
わかりにくいかもしれませんが、右肘矢印の先に骨皮質の不連続像が確認できます。噛み砕きますと、白い線(骨の表面)が途切れています。画像上ではチョットだけ途切れている様にしか映っていませんが、少しでも途切れていればいわゆる骨折タイプの可能性が高くなります。
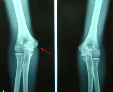
今回の患者様にも専門整形外科での検査などを依頼し、実施して頂きました。以下の写真(↓)は、左右の肘関節レントゲン画像です。矢印の先が剥離骨折部です。
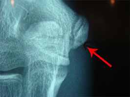
患側の右肘拡大です。
赤色矢印の先に、横向きに黒い線が確認できますでしょうか。
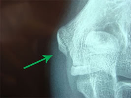
次に健側の左肘拡大です。
緑矢印の先には、患側と異なり、横方向の黒い線がありません。
ご確認頂けましたでしょうか。
症例4は2007年に来院されました患者様です。
2008年には回復され、無事に野球選手生活を過ごしていらっしゃいます。

