1.症例8
中学生の外側障害 (内側も併発):離断性骨軟骨炎(いわゆる関節ネズミ)
エコー画像・レントゲン画像・MRI画像を、順に紹介
最初にエコー画像(↓) 下記は、上腕骨小頭を前側から縦方向に見た画像です。
右肘は、赤丸の部分に白く凹んだ様子が映っています。
左肘には、凹みは見られません。白い線がアーチ状に1本の線で描出されています。
同じ上腕骨小頭を後から縦方向の画像(↓)。

右肘の赤矢印先には、下方向に伸びた白い像が描出されています。 左肘には見られません。
上腕骨小頭を横方向で見た画像です(↓)
右肘は、赤丸内部の矢印先が凸凹と不整に描出されています。
左肘の緑丸内部は正常描出です。
ちなみに内側を縦方向から見た画像。(↓)
右肘の、黄色矢印先がこんもりと山になっていますが、正常では平に映ります。
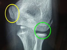
では次にレントゲン画像。(↓):向かって左側が患側(右肘)・向かって右側が健側(左肘)。
右肘外側の赤丸内矢印先に黒く映っている部分がありますが、おわかりになりますでしょうか?
左肘の緑丸内は黒い部分がありません。
離断性骨軟骨炎です。
黄色矢印先は、先述エコー像内側の黄色矢印に相当します。
患側(右肘)の拡大画像(↓)です。
赤矢印先の黒い部分が離断性骨軟骨炎です。
黄色矢印先は、先述エコー像内側の黄色矢印に相当します。
健側(左肘)の拡大画像です(↓)
緑丸内部には黒い部分がありません。黄色丸内も正常描出されています。
最後にMRI画像です。
T1強調画像(↓)
T2強調画像(↓)
T1・T2いずれも赤矢印先に丸くポツンと描出されているのが患部です。
最後の画像(↓)はMRI T1での短軸(横向き)です。
やはり赤矢印の先に、離断性骨軟骨炎が描出されています。
離断性骨軟骨炎(OCD)に関しましては、新しい概念が広まり始めています。 今後別ページを作成予定です。

